Unser Leistungsspektrum
Kronen & Brücken
Zahnkronen werden eingesetzt bei weit fortgeschrittener Karies und starkem Verlust von Zahnsubstanz. Im Gussverfahren wird eine nicht verblendete Metallkrone aus mundbeständigen Metalllegierungen hergestellt. Sie stellt die stabilste und einfachste Form der Zahnkrone dar. Aus ästhetischen Gründen ist diese Art der Krone in erster Linie für die Backenzähne geeignet.
Mit einer Verblendkrone kann der Zahn optisch nachgebildet werden. Der Kronenkern besteht aus einem Metallgerüst. Die ästhetisch vorteilhafteste Lösung bildet eine vollverblendete Keramik-Krone. Sie kann dem natürlichen Zahn täuschend echt nachgebildet werden. Vollverblendete Kronen sind zudem kaum temperaturempfindlich und verursachen keine allergischen Reaktionen.
Bei einer Vollkeramikkrone wird reine Keramik eingesetzt. In mehreren Herstellungsstufen entsteht ein zahnersazt, den dem natürlichen Zahnschmelz vollständig gleicht. Das Fehlen jeglichen Edelmetalls führt zudem zu einer hohen Bioverträglichkeit. Vollkeramikkronen setzen aber eine bestimmte Beschaffenheit des verbleibenden Naturzahns voraus.
Brücken werden sowohl über einzelne fehlende Zähne als auch über größere Lücken gefertigt. Eine Brücke setzt die Überkronung der direkten Nachbarzähne voraus. Sie bilden die tragenden Pfeiler und geben der Brücke den sicheren Halt. Je nach Größe der Lücke müssen jeweils ein oder mehrere Nachbarzähne überkront werden. Auch hier gibt es verschiedene Versorgungsvarianten, die denen der Kronen entsprechen.
Inlay & Onlay
Inlays oder Onlays sind ideal, um größere Kariesdefekte zu schließen. Aufgrund ihrer langen Haltbarkeit und guten Verträglichkeit sind sie eine hervorragende Alternative zu Amalgam- und Kunststofffüllungen. Inlays werden anhand eines Zahnabdrucks gefertigt und erfordern ein hohes Maß an handwerklichem Können.
Goldinlays werden im Gussverfahren hergestellt und bieten einen hervorragenden Randschluss. Keramikinlays werden in unserem Praxislabor im Press- oder Fräsverfahren hergestellt und fügen sich harmonisch in das Restgebiss ein, weil sie an Ihre Zahnfarbe angepasst sind.
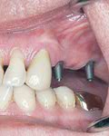
Implantatgetragener Zahnersatz
Implantate können als Ersatz für einzelne oder mehrere fehlende Zähne dienen. Im Gegensatz zu Brücken bleibt hierbei die gesunde Zahnsubstanz der Nachbarzähne erhalten.
Wird im Seitenzahnbereich eine Lücke länger nicht versorgt, bekommen die angrenzenden Pfeilerzähne oftmals eine Schieflage. Der Einsatz von Implantaten bietet auch hier eine Lösung, da eine stabile Brückenkonstruktion teilweise nicht mehr möglich ist. Das Implantat übernimmt die Aufgabe des hinteren fehlenden Pfeilerzahns und schafft die Basis für eine festsitzende Brücke.
Auch zur Stabilisierung einer Deckprothese sind Implantate oft eine sinnvolle Alternative. Die Prothese rastet in die entsprechenden Vorrichtungen des Implantats ein, denn diese bieten einen sicheren Halt. Das Kauen und Sprechen wird optimiert, die Lebensqualität gesteigert.
Teilprothesen
Die Kombination aus festsitzendem und herausnehmbarem Zahnersatz bietet eine komfortable Versorgung bei mehreren fehlenden Zähnen, wenn eine festsitzende Brücke nicht mehr realisierbar ist. Teilprothesen werden im Restgebiss verankert.
Zur Verankerung liefert die moderne Dentaltechnik unterschiedliche Möglichkeiten:
Geschiebe sind präzise gearbeitete Halteelemente. Die Gegenstücke werden passgenau an den Trägerkronen und der Prothese eingearbeitet.
Die Teleskopkrone basiert auf dem Prinzip eines Zylinders. Parallele Flächen erzeugen eine Haftung. Der sichtbare Teil der Teleskopkrone wird häufig mit Kunststoff verblendet.
Vollprothesen (Totale Prothesen)
Präzise hergestellte Totalprothesen erfüllen die Anforderungen an eine optimale Kaufunktion und sorgen nicht zuletzt auch für gutes Aussehen.
Jede Vollprothese ist ein Einzelstück, individuell an Ihren Kiefer angepasst. Dennoch braucht es manchmal eine gewisse Eingewöhnungszeit, um den neuen Zahnersatz als einen Teil von sich selbst zu akzeptieren.
Unser Team wird mögliche Druckstellen erkennen und beseitigen. Geringfügige Korrekturen, professionell ausgeführt, beugen Funktionsstörungen vor und können die unterschiedlichen Beschaffenheiten der Kieferanatomie im Mund ausgleichen.
Reparaturen
In unserem Praxislabor führen wir fachkundig jegliche Art von Prothesenreparaturen durch. Der große Vorteil für Sie als Patient ist dabei die relativ kurze Wartezeit bis zur Fertigstellung Ihrer Arbeit. Da wir die defekte Prothese nicht erst in ein externes Dentallabor schicken müssen, entfallen Fahrtweg und Logistik.
Schienen
Unser praxiseigenes Labor fertigt unterschiedliche Arten von Schienen an. Dazu gehören u.a. Aufbißschienen, Knirscherschienen oder Wundverschlußplatten.




